Esthétique du sourire

"Le sourire est la perfection du rire. […] le sourire appelle le sourire : il rassure l'autre sur soi et toutes choses autour."

Émile-Auguste Chartier

 

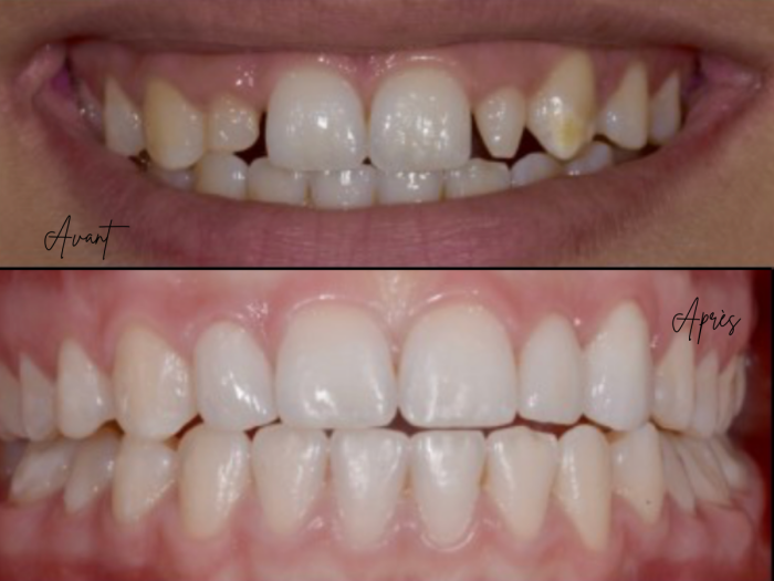
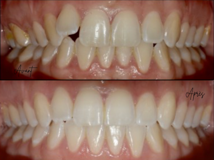
Faire briller votre sourire passe par la forme et la teinte de vos dents. Cette même forme vous apporte satisfaction et une fonction à votre bouche. Un beau sourire ne s’arrête pas à vos dents antérieures mais démarre du fond de votre bouche jusqu’à l’avant.

 

Coller une facette, changer une couronne ancienne disgracieuse, corriger la teinte ou les tâches d’une ou plusieurs dents, redonner son volume à une dent usée, réaligner vos dents tout cela permet de rendre votre sourire harmonieux.

Eclaircissement

Traitement par aligneurs

Mise en place de facettes

Usure et érosion

Implantologie / Chirurgie
Parodontie

Réhabilitation globale

Notre cabinet se situe au coeur des coteaux de la rive droite du Rhône, sur la commune d’Ampuis (69).